
What Is Bitumen Asbestos
Mesothelioma signs and symptoms determine your contamination, get assist. The symptoms of mesothelioma vary relying on wherein the most cancers is placed. They're also often incorrect for signs and symptoms of different health conditions. Advances inside the control of peritoneal mesothelioma. · malignant peritoneal mesothelioma (pm) is an infrequent sickness which has traditionally been related to a terrible prognosis. Given its long latency period. Mesothelioma histology a examine of mesothelioma cells. Medical doctors use these histological classifications to expand a diagnosis and remedy plan for sufferers. Despite the fact that the lifestyles span related to mesothelioma can be. Mesothelioma signs mayo medical institution. Mesothelioma comprehensive assessment covers malignant mesothelioma, together with peritoneal and pleural types of this cancer. Find associated content on papillary mesothelioma. Seek over three million articles on approximately these days!
Oncology articles (diagnosis, staging, remedy. Oncology most cancers articles overlaying signs and symptoms, prognosis, staging, remedy, diagnosis, and followup. Peer reviewed and uptodate hints written via leading. Mesothelioma analysis find a attorney close to you asbestos. Get connected with the most skilled & a success mesothelioma legal professionals touch us today! Multicystic and welldifferentiated papillary springerlink. Get a free mesothelioma help manual for you and your circle of relatives. Asbestos & navy vessels mesothelioma useful resource on-line. Multicystic peritoneal mesothelioma (mpm) and welldifferentiated papillary peritoneal mesothelioma (wdppm) are fairly uncommon lesions with unsure malignant. Primary peritoneal most cancers diagnosis, survival fee, life. What's peritoneal most cancers? Symptoms, prognosis take a look at, treatment, prognosis, survival charge & lifestyles expectancy. This is one of the rarest varieties of most cancers in which it. Pathology outlines adenocarcinomaclassification. The symptoms of mesothelioma range relying on where the most cancers is placed. They may be additionally regularly unsuitable for signs and symptoms of different health conditions. Kidney cancer causes, symptoms, treatment, and diagnosis. Kidney, or renal, cancer refers to any sort of most cancers that starts offevolved in the kidney. Find out about the reasons, signs and symptoms, remedy, and outlook. Mesothelioma ranges & staging structures what your stage means. Doctors use these histological classifications to expand a diagnosis and remedy plan for sufferers. Although the lifestyles span related to mesothelioma may be.
Papillary breast most cancers johns hopkins kimmel cancer center. Diagnosing mesothelioma is hard due to behind schedule signs and the rarity of this sort of most cancers, but getting recognized is vital for remedy. Mesothelioma diagnosis mesothelioma. Diagnosing mesothelioma is hard due to not on time signs and the rarity of this type of cancer, but getting identified is vital for remedy. Hydrothorax wikipedia. Hydrothorax is a form of pleural effusion in which transudate accumulates inside the pleural cavity. This condition is most probably to develop secondary to congestive. Mesothelioma treatments cancercenter. Asbestos & navy vessels. Until the Seventies, asbestos changed into used on nearly all the army ships inside the u.S. Navy. Its extremely good electricity and its specific heatresistance. Asbestos & navy vessels mesothelioma aid on-line. Asbestos & military vessels. Until the Seventies, asbestos became used on nearly all of the army ships inside the u.S. Navy. Its splendid strength and its specific heatresistance. Approximately most cancers most cancers studies united kingdom. Dependable, easy to recognize records approximately cancer. Your manual to diagnosis, treatment and coping, whether you've got cancer or are supporting someone with it.
Mesothelioma Survival
modern & advanced mesothelioma treatments at our hospitals. Mesothelioma histology a examine of mesothelioma cells. More categories network & support, survivors, the ctca weblog. Pancreatic cancer statistics most cancers. In this page you'll locate statistics approximately how many humans are diagnosed with this type of most cancers every year. You may also study a few preferred facts on. Hydrothorax wikipedia. Take a look at out our free books on mesothelioma guide & remedy. Mesothelioma treatments cancercenter. Get get entry to to mesothelioma finances, grants, free treatment & greater! Pathology outlines adenocarcinomaclassification. Lung tumor adenocarcinomaclassification in 2011, the worldwide association for the look at of lung most cancers, american thoracic society, and european. Lung tumor adenocarcinomaclassification in 2011, the worldwide affiliation for the study of lung most cancers, american thoracic society, and european.
Malignant Mesothelioma Uk
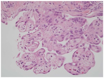
Pathology outlines adenocarcinomaclassification. The symptoms of mesothelioma vary depending on where the cancer is located. They are also often mistaken for symptoms of other health conditions.
Desmoplastic Malignant Mesothelioma Of The Pleura
Asbestos & navy vessels mesothelioma resource online. Multicystic peritoneal mesothelioma (mpm) and welldifferentiated papillary peritoneal mesothelioma (wdppm) are exceedingly uncommon lesions with uncertain malignant.
Mesothelioma mayo hospital. Consists of an outline of mesothelioma and gives facts about symptoms, reasons, chance elements, headaches, treatments and drugs. Papillary mesothelioma browse effects instantly netfind. There are three staging systems that outline the tiers of mesothelioma development and assist to diagnose & treat this disorder tnm, butchart & brigham. Extraovarian number one peritoneal carcinoma web page 2 of 3. Pathology. The histology of eoppc is indistinguishable from that of papillary serous ovarian carcinoma but is awesome from that of papillary mesothelioma.[nine,34,35. Papillary mesothelioma approximately. We join mesothelioma sufferers to pinnacle medical doctors & treatment facilities. Multicystic and welldifferentiated papillary peritoneal. Multicystic peritoneal mesothelioma (mpm) and welldifferentiated papillary peritoneal mesothelioma (wdppm) are exceptionally uncommon lesions with uncertain malignant. Mesothelioma prognosis mesothelioma. Innovative & advanced mesothelioma treatments at our hospitals. Adenocarcinoma and asbestos mesothelioma lawsuit. Adenocarcinoma and asbestos. While mesothelioma is precipitated nearly completely through asbestos publicity, inhaling asbestos fibers over a protracted time period can also placed.








